
Before & Afters

Invisalign
Real smiles, real results
See how confident smiles are made at Pinsak and Sayania Orthodontics
We love seeing our patients light up when they see their new smile for the first time. Whether it’s braces, Invisalign, or a combination of treatments, every transformation tells a story—and we’re proud to be a part of each one. Take a look at the difference expert orthodontic care can make.

Braces
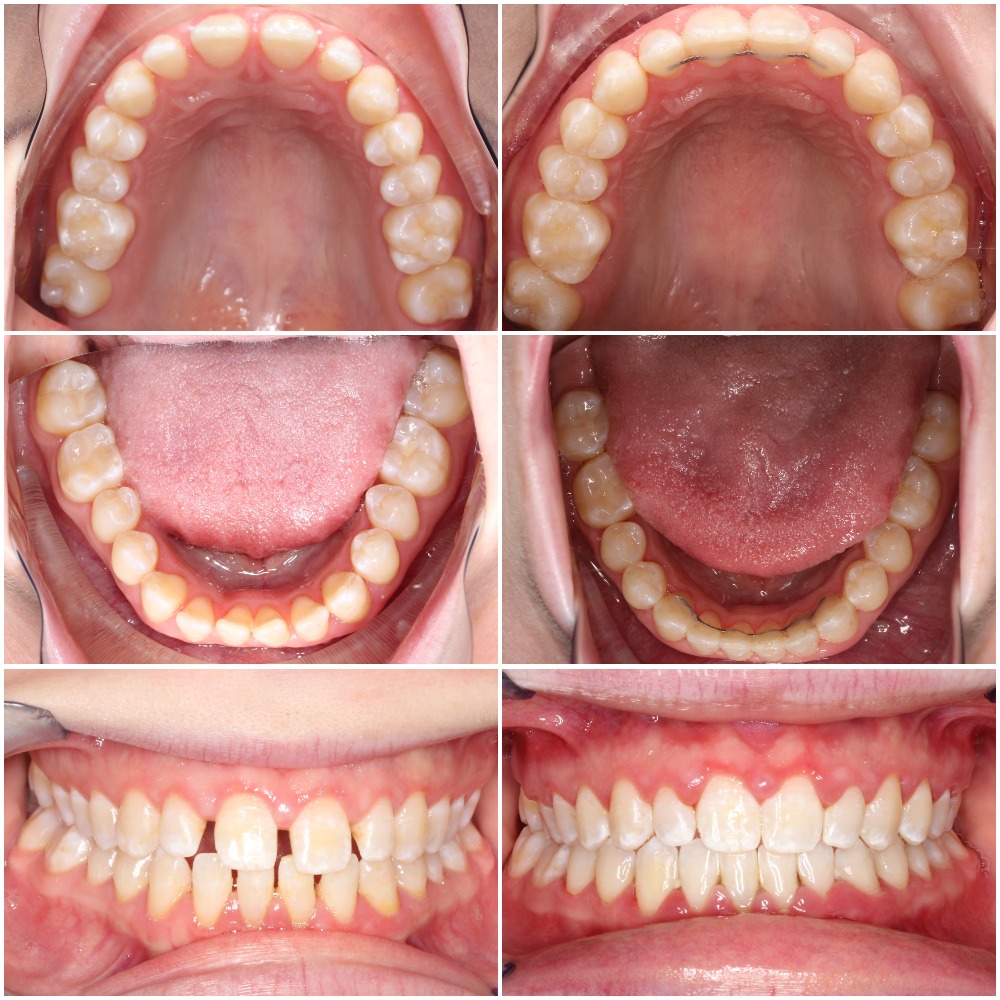
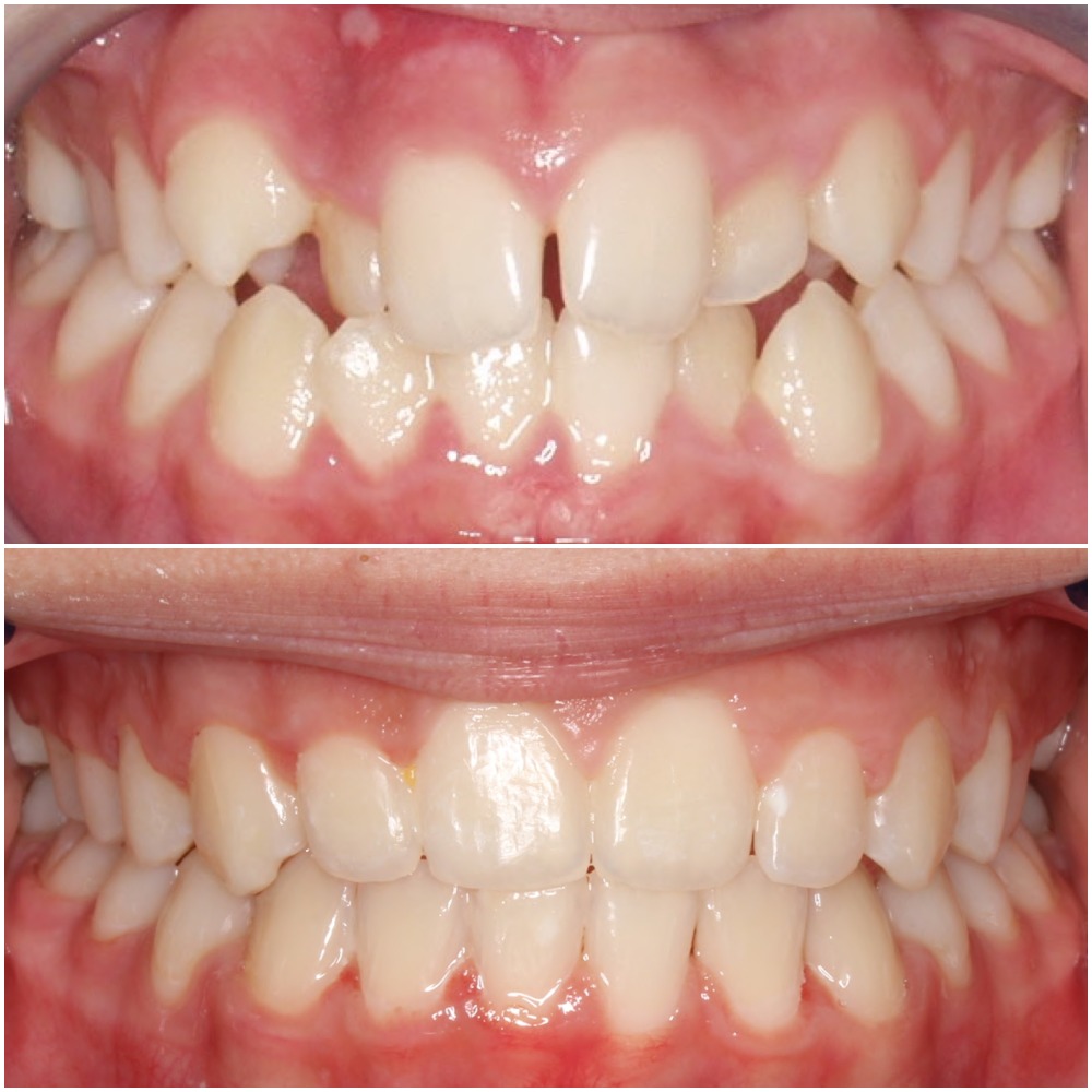
An 18-month orthodontic treatment with braces for an adult patient presenting with dental crowding.
.webp)
Braces and expander
An 18-month treatment plan for an adolescent patient presenting with dental crowding and a narrow maxillary arch.

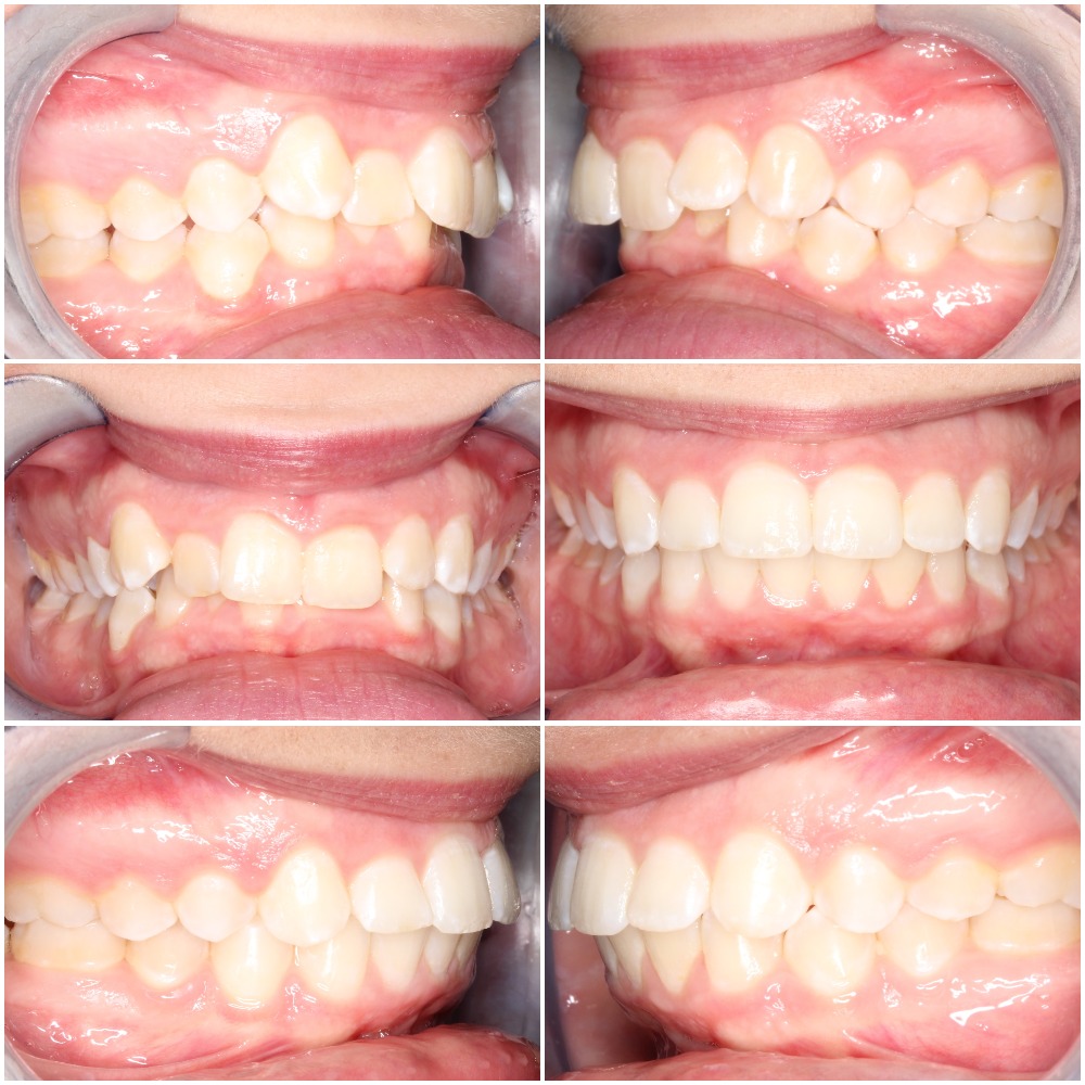
Braces
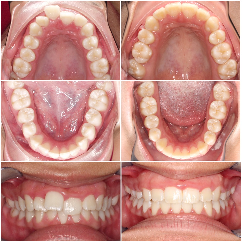
A 20-month treatment plan for an adolescent patient presenting with dental crowding and blocked-out teeth.

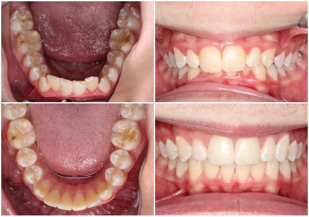
Braces
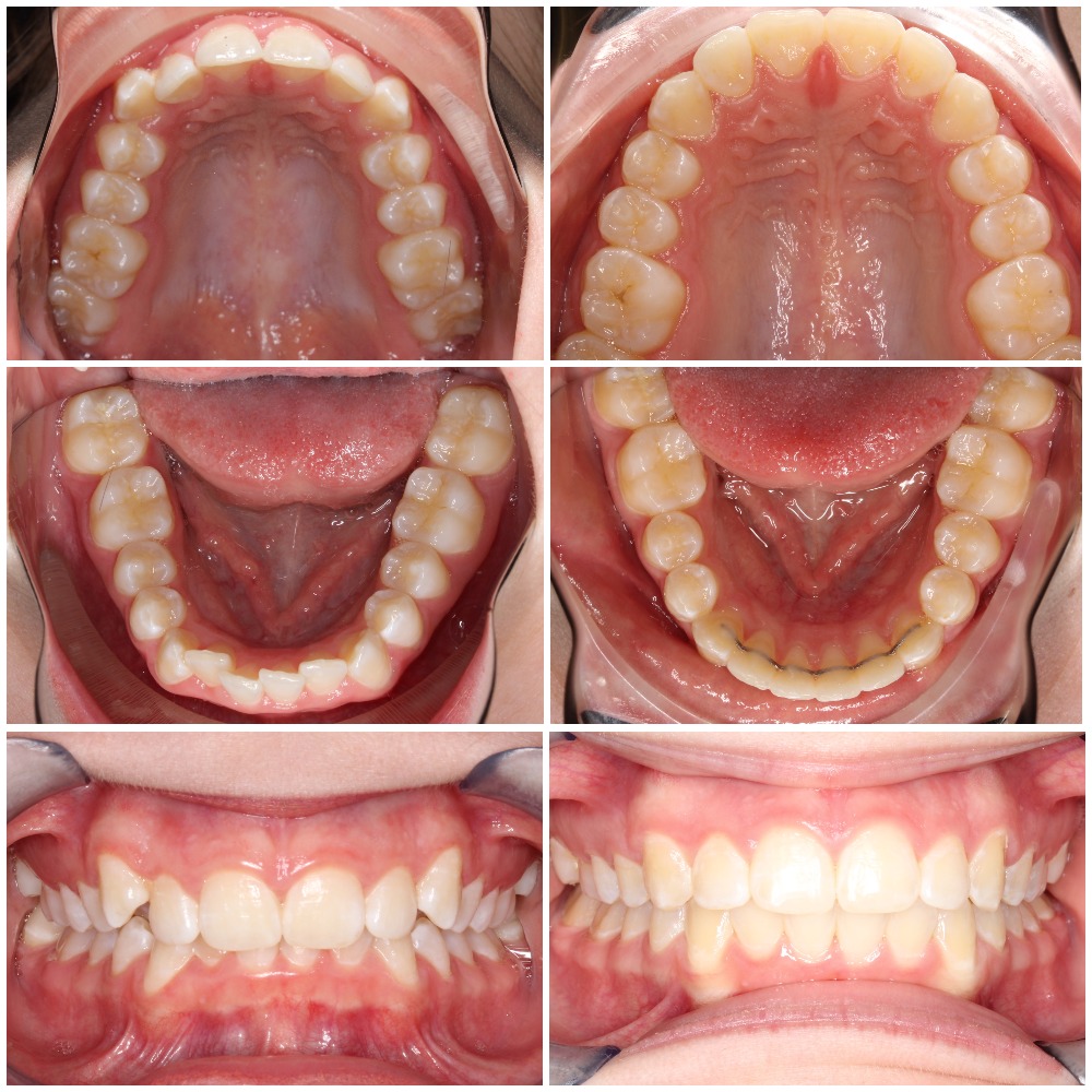
A 18- month orthodontic treatment for an adolescent patient with dental crowding and overbite.

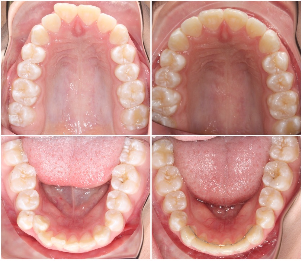
Invisalign
A 15-month orthodontic treatment for an adult patient with dental crowding.

Braces and expander
A 20-month orthodontic treatment involving a maxillary expander and braces for a child patient with dental crowding, crossbite, and a constricted upper jaw.

Invisalign
A 16-month treatment for an adult patient presenting with crowding of the upper and lower teeth.

Braces
A 22-month orthodontic treatment for a teenage patient with crowding and an overbite.

Invisalign
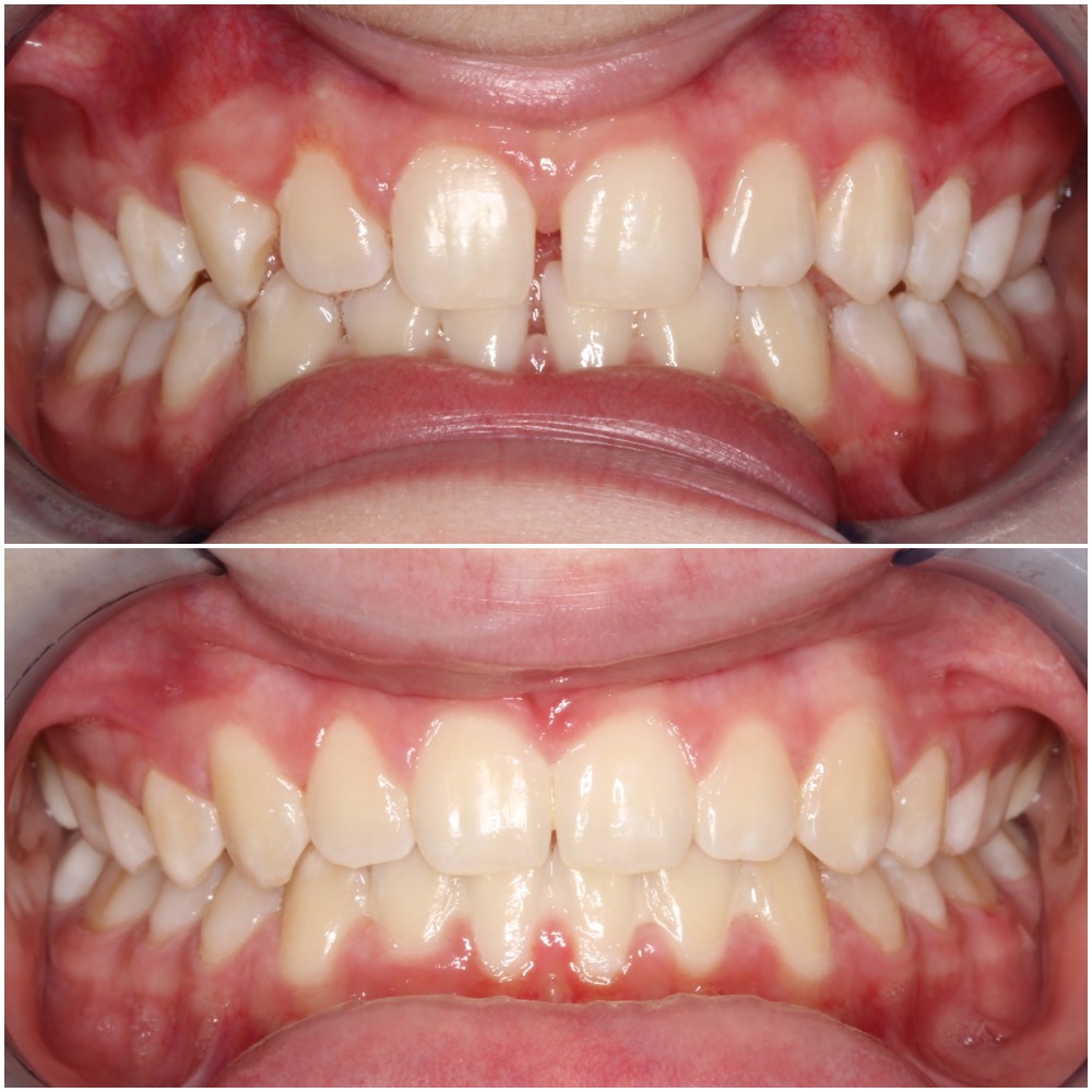
A 15-month treatment for a teenage patient presenting with dental spacing.

Braces
A 18-month orthodontic treatment for an adult patient with crowding.
Your best smile starts with a free consultation
